Lečenje korena
Skoro svaki zub sa zapaljenjem ili gangrenom živca je preporučljivo lečiti.
Šta znači lečenje kanala korena?
Širenje, dezinfekciju i definitivno punjenje kanala, koji se nalazi u korenu zuba.
Zašto je značajno da bude kvalitetno?
Ovom terapijom obezbeđujemo, da oboleli zub dugotrajno ostaje u ustima (čak doživotno). Dugotrajan ishod kod onog zuba, koji je već bio podvrgnut takvoj terapiji, nikad nije siguran. Iz tih razloga, više se isplati, odmah prvi put izvršiti kvalitetno lečenje kanala.
Da li je bolna intervencija?
Ne, jer ga vršimo samo u lokalnoj anesteziji!
Šta obezbeđuje kvalitet?
Korišćenjem rendgena smo obezbedili da uveliko smanjimo broj mogućih komplikacija. Kraj kanala se određuje pomoću jednog finog električnog mernog uređaja (apex lokatora), koji smanjuje broj neophodnih snimaka i tako se uveliko smanjuje ozračenost pacijenta.
Uf, pa to zahteva puno vremena i posete!
Netačno! Upotrebom jako kvalitetnih sredstava za ispiranje kanala smo obezbedili da čak 95 % svih lečenja završimo jednoseansno, a i ostatak od 5 % zahteva samo dve posete. Zaboravite višemesečna lečenja sa čestim promenama uložaka!
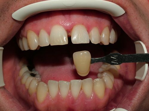
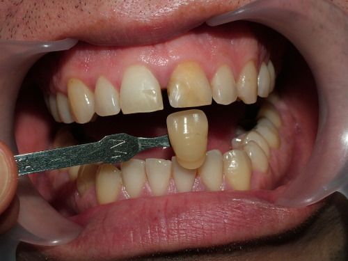
Da li se prebojava svaki lečen zub?
Ne, samo se uočava kod nepravilno lečenih! U takvom slučaju preporučujemo ponovno lečenje datog zuba, a potom beljenjem zuba, koje se vrši u našoj ordinaciji, može da se vrati stari sjaj vašeg zuba. Evo jedan primer:


Da li su stvarno lečeni zubi slabiji?
Do lečenja u najvećem broju slučajeva dovode veći kvarovi, ali i mi moramo malo više ukloniti od zuba da bih mogli kvalitetno izvesti lečenje. Zbog toga su zubi oslabljeni i u većini slučajeva je preporučljivo ojačati takve zube. U ovakve svrhe koristimo isključivo kompozitne kočiće ojačane staklenim vlaknima (FRC), jer njihov elasticitet najviše odgovara onim od zuba i zbog toga je mnogo manja mogućnost, nego kod metalnih kočića da dovode do preloma korena. O njihovoj estetskoj nadmoćnosti nema smisla ni pričati. Uverite se u to na osnovu sledećih slika i zaboravite sive desni zbog metalnih kočića!

lecenje-sl7_b

lecenje-sl8_b

lecenje-sl9_b

lecenje-sl10_b

lecenje-sl11_b
