Ispuni
Po uklanjanju karijesnih masa, ispunom se nadoknađuje izgubljeni deo zuba, u estetskom i funkcionalnom smislu. Pošto je uklanjanje karijesnih masa bolan proces kod dubljih kaviteta, zato isto vršimo samo pod lokalnom anestezijom!
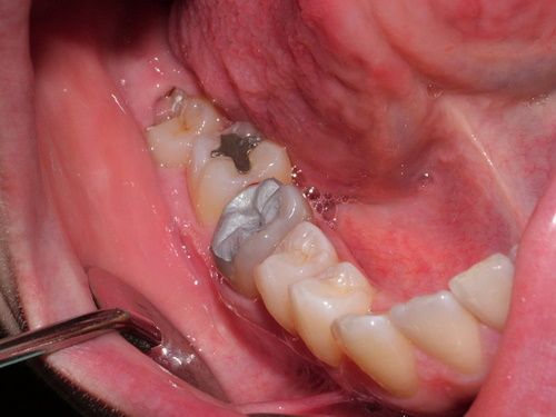
Prateći načela estetske stomatologije XXI. veka, u našoj ordinaciji veoma retko se izrađuje amalgamski ispun, i to samo u onim slučajevima, kad je beli ispun iz više razloga kontraindikovan. Neka sledeće slike budu dokaz, da i ovakav ispun može biti lep, iako nije nevidljiv!



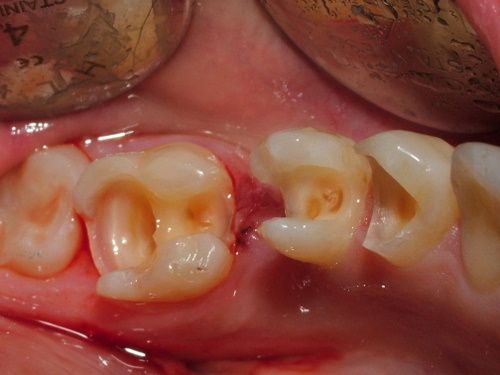
Jedan od zaštitnih znakova naše ordinacije su beli ispuni, koji se izrađuju maksimalno prateći načela estetske stomatologije. Mi umesto belih ispuna „jezeraca”, skoro potpuno nevidljivo nadoknađujemo karijesom izgubljeni deo zuba. U stvari zubi se kod nas ne plombiraju, nego se estetski i funkcionalno rekonstruišu. Evo nekoliko dokaza, da ova nije prazna priča:
Zadnji ispuni:






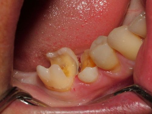
Zadnje nadogradnje:






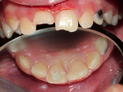
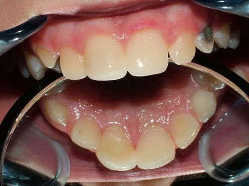
Prednji ispuni:






Prednje nadogradnje (direktne fasete):






Da bi ovakvi ispuni ostali gore viđeni, neophodno ih je redovno održavati kod kuće, a redovno i kod stolmatologa.